My first MitraClip in the left atrial roof in a critically ill patient

R. Gramlich (Hamburg)1, J. Onken (Berlin)2, J. Hering (Berlin)2, T. Puschmann (Berlin)3, H. Ince (Berlin)4
1Asklepios Klinik St. Georg Kardiologie & internistische Intensivmedizin Hamburg, Deutschland; 2Vivantes Klinikum Neukölln Kardiologie, Angiologie, Nephrologie und konservative Intensivmedizin Berlin, Deutschland; 3Vivantes Klinikum Neukölln Klinik für Anästhesie, operative Intensivmedizin und Schmerztherapie Berlin, Deutschland; 4Vivantes Klinikum Am Urban Klinik für Innere Medizin, Kardiologie und konservative Intensivmedizin Berlin, Deutschland

Introduction:

Edge-to-edge repair using the MitraClip device is an established and safe procedure for treating secondary mitral valve regurgitation. However, there are some critical steps in the procedure that can lead to serious or even fatal complications.

Case:

A 72-year-old male patient was admitted to our clinic with anterior wall STEMI accompanied by respiratory insufficiency. Endotracheal intubation was performed, followed by percutaneous coronary intervention (PCI) with implantation of a drug-eluting stent in the proximal LAD. A severe stenosis of the medial Cx was initially left untreated. Transthoracic echocardiography revealed a severely impaired left ventricular function with severe functional mitral valve insufficiency. The catecholamines could initially be gradually reduced, but ventricular tachycardia occurred, so that a repeat coronary angiography was performed with PCI of the Cx using drug-coated balloons. Subsequently, rhythmic stabilization was achieved and the catecholamines could be tapered. During the wake-up phase, the patient was responsive. However, during prolonged weaning, recurrent left-sided cardiac decompensation with pulmonary edema and pleural effusions occurred, requiring repetitive pleuracentesis. Repeated echocardiograms showed persistent severe secondary mitral valve insufficiency, so mitral valve repair was indicated.

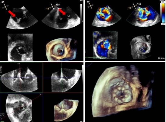
The superior-posterior transseptal puncture was performed under echocardiographic and fluoroscopic guidance. The first MitraClip was carefully advanced into the left atrium. It could not be directed toward the valve plane. Echocardiography showed a position in the atrial roof with minimal pericardial effusion. With gentle pulling maneuvers, we could clearly see that the clip could not be mobilized. We anticipated that severe pericardial effusion might occur and prepared a CellSaver and two erythrocyte concentrates as a preventive measure. Then we decided to place the clip in that position ready for pericardial puncture. After releasing the clip, pericardial effusion developed slowly, indicating a rather small defect in the left atrial roof. Pericardial puncture was performed, followed by manual autologous retransfusion and transfusion of the erythrocyte concentrates. Once continuous autotransfusion using CellSaver had been established, the procedure was continued. The severe mitral valve insufficiency was reduced to trace by implanting two MitraClips. Autotransfusion using CellSaver could be terminated after two hours, and the pericardial drainage could be removed after two days. Subsequently, weaning from the ventilator was accelerated and there were no further episodes of pleural effusion or pulmonary edema. After 50 days in our intensive care unit, the patient was transferred to neurological rehabilitation. He is currently undergoing walking training there.

Conclusion:

Perforation of the left atrial roof with a MitraClip device is a rare and potentially fatal complication. In our opinion, it was essential not to retrieve the clip to avoid an uncontrollable defect. Despite leaving the clip in place, major bleeding occurred, which ultimately could only be controlled by autotransfusion via CellSaver. The key to manage this complication was the collaboration between interventionalists and experienced anesthesiologists.