Abstract
Background: The incidence of campylobacter jejuni enterocolitis is increasing and the bacterium is the leading cause of acute diarrhea. Nevertheless, cardiac complications associated with Campylobacter jejuni remain rare. The pathophysiology of extraintestinal infections caused by Campylobacter jejuni is yet to be clarified and requires further investigation
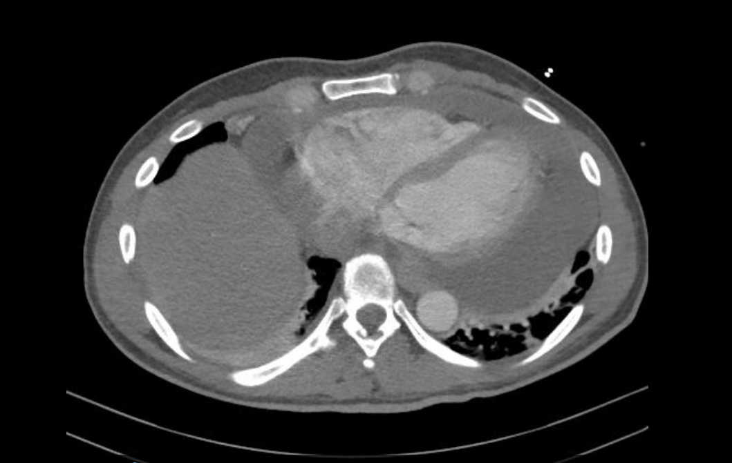
Case summary: A 47-year-old male presented with sudden chest pain and shortness of breath. Echocardiography revealed pericardial tamponade along with pleural effusion over time. Campylobacter jejuni was identified by microbiological analysis in pericardial aspirates and stool samples without prior gastrointestinal complains.
Discussion: Exclusive pericarditis caused by Campylobacter jejuni remains an extremely rare complication. To date, successful isolation of the pathogen from pericardial fluid has been reported only twice. Moreover, this is the fifth documented case of the disease worldwide. Despite immunocompetence, relevant bacteremia as a cause of infection appears to be likely.
Take Home Message: Isolated pericarditis is a rare but serious complication following Campylobacter jejuni infection. In regards to pathogenesis a direct bacterial invasion is becoming increasingly likely. Growing antimicrobial- resistant strains need to be kept in mind while choosing therapeutic regime.

Computed tomography of the chest with verification of extensive pericardial effusion.