Background:
Obstructive hypertrophic cardiomyopathy (oHCM) is characterized by dynamic left ventricular outflow tract (LVOT) obstruction and impaired quality of life. Mavacamten, a first-in-class myosin inhibitor, offers a novel therapeutic approach for oHCM, which improves clinical symptoms and exercise capacity while leading to reduction of LVOT gradient and favourable cardiac remodeling in echocardiography and cardiovascular magnetic resonance (CMR). However, data on CMR-derived treatment effects remain limited to short follow-up studies.
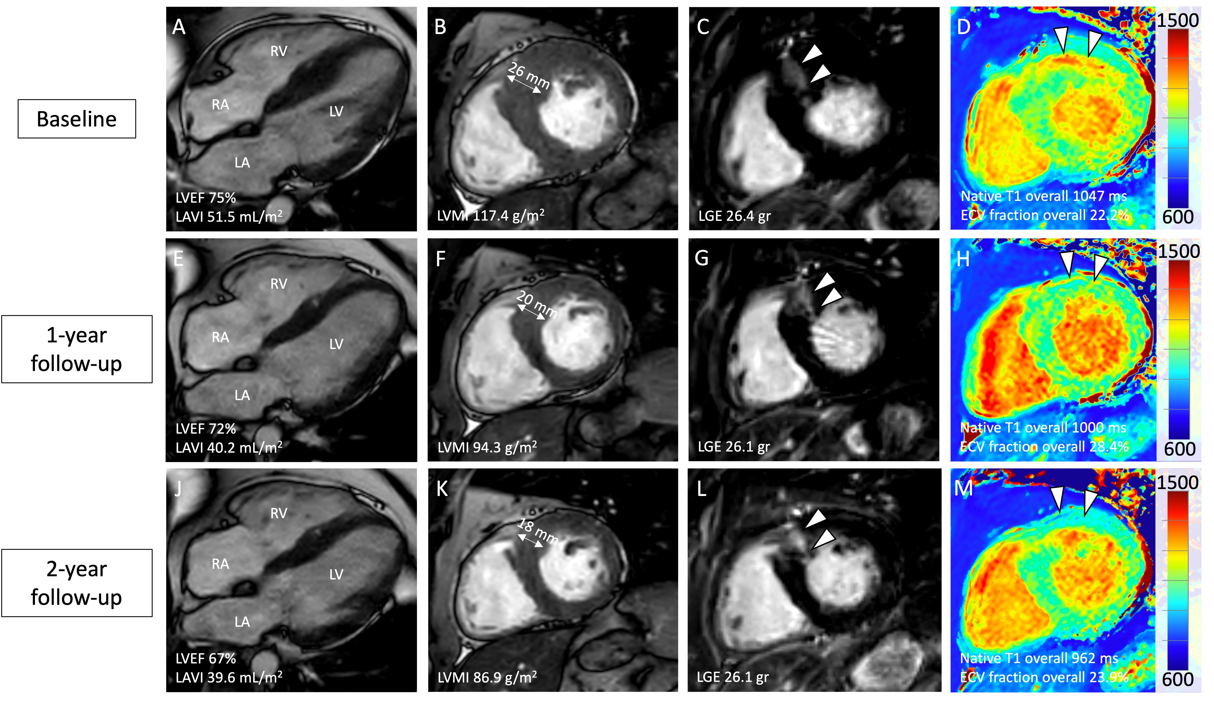
Case summary:
A 39-year-old male with symptomatic oHCM refractory to bisoprolol and disopyramide was initiated on mavacamten therapy. Serial CMR after one and two years demonstrated progressive reverse remodeling over the follow-up period, including ongoing reduction of LV ejection fraction and LV mass index. While late gadolinium enhancement mass remained unchanged, there were divergent changes to measures of interstitial fibrosis: While native T1 relaxation times steadily decreased, extracellular volume (ECV) fraction initially increased but normalized at two-year follow-up.
Discussion:
This case indicates that mavacamten leads to longer-term cardiac remodeling up to two years after initiation of treatment beyond early hemodynamic improvement and reduction of LVOT obstruction. These observations nurture additional studies to investigate longer-term effects on myocardial structure, function, and interstitial fibrosis.