Hintergrund:
Kardiale Metastasen eines Nierenzellkarzinoms (RCC) sind selten, eine Myokardbeteiligung stellt eine ungewöhnliche Manifestation dar. Solche Läsionen verlaufen häufig asymptomatisch und können bildgebend das Erscheinungsbild eines intrakardialen Thrombus imitieren. Die differenzielle Abgrenzung ist entscheidend, da sich daraus unterschiedliche therapeutische Konsequenzen ergeben, insbesondere im Hinblick auf die Indikation zur Antikoagulation oder systemischer Tumortherapie. Nach den ESC-Leitlinien 2022 zur Kardio-Onkologie sollte zur weiteren Abklärung kardialer Raumforderungen eine multimodale Bildgebung erfolgen, einschließlich Kontrastechokardiographie und kardialer Magnetresonanztomographie (MRT).
Falldarstellung:
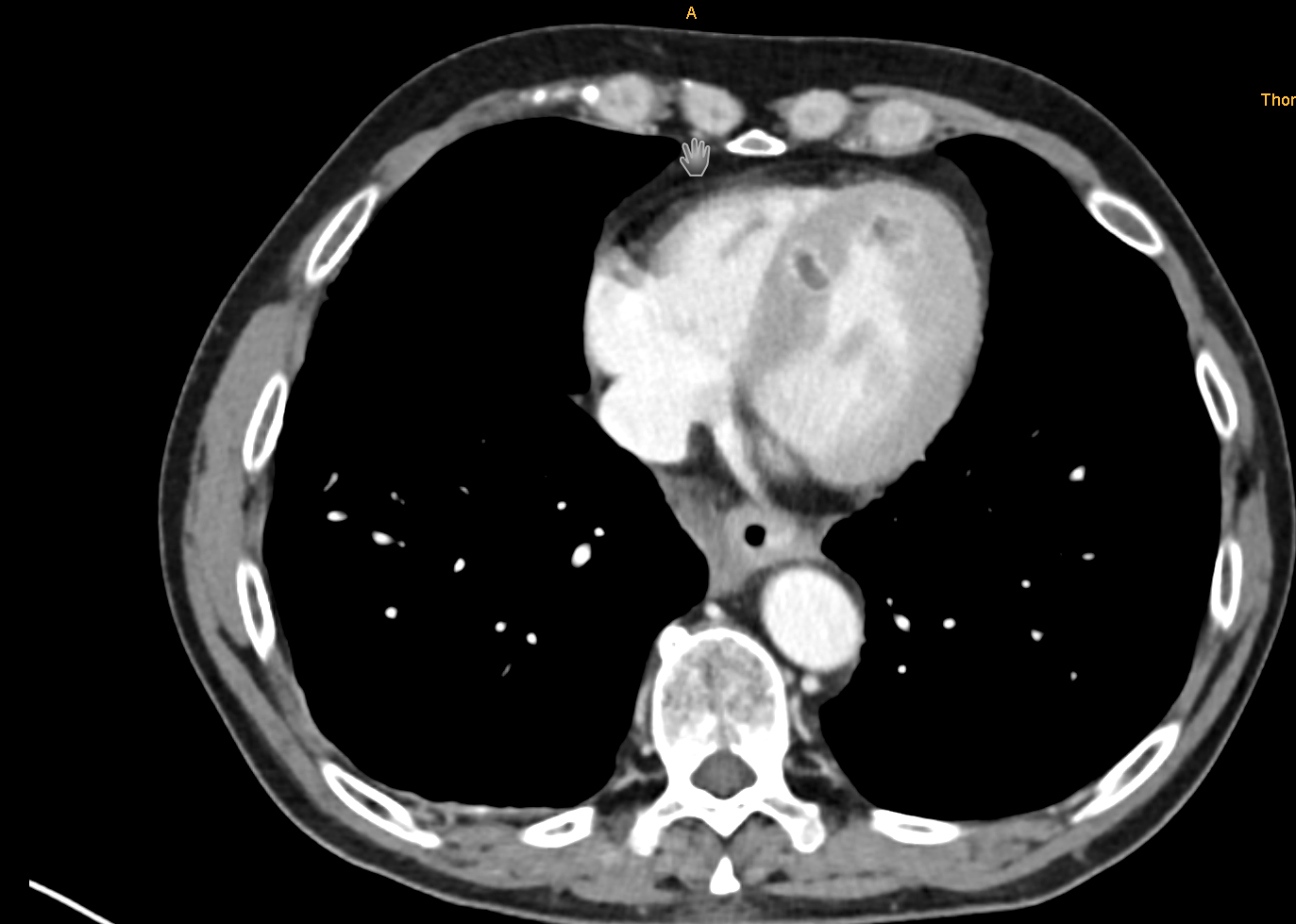
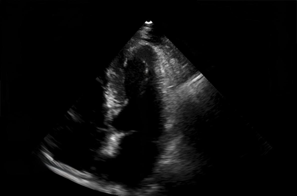
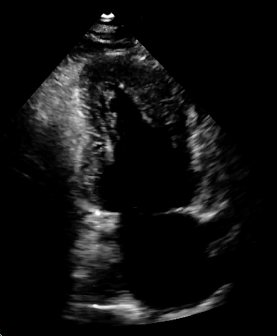
Bei einem 57-jährigen Patienten mit metastasiertem klarzelligem RCC zeigten sich in der CT-Verlaufskontrolle zwei neue, kontrastmittelanreichernde Läsionen im Myokard anteroapikal und septal, die differenzialdiagnostisch nicht sicher zwischen Thromben und Metastasen zu unterscheiden waren. Der Patient berichtete über Palpitationen, jedoch keine Dyspnoe oder Thoraxschmerzen. Das EKG ergab T-Wellen-Negativierungen in den Ableitungen V1–V6, NT-proBNP war mit 1670 pg/ml erhöht. Die transthorakale Echokardiographie zeigte eine fokale Wandverdickung anteroapikal und inferoseptal bei scharfer Abgrenzung des Endokards. Die linksventrikuläre Ejektionsfraktion lag bei etwa 55 %, Auffälligkeiten des rechten Ventrikels bestanden nicht. Zur differenzialdiagnostischen Abgrenzung erfolgte eine Kontrastechokardiographie, in der beide Läsionen eine deutliche Hypervaskularisation zeigten. Dieser Befund legte eine metastatische Genese nahe und war nicht mit dem avaskulären Erscheinungsbild thrombotischer Strukturen vereinbar. Aufgrund der Tumorprogression erfolgte ein Wechsel der systemischen Therapie von Sunitinib auf Belzutifan. Unter fortlaufender kardioonkologischer Betreuung ist der Patient derzeit klinisch stabil.
Zusammenfassung:
Myokardmetastasen eines RCC sind selten und werden häufig als Zufallsbefunde entdeckt. Die Abgrenzung zu intrakardialen Thromben stellt in der Bildgebung eine diagnostische Herausforderung dar. Mittels CT war in diesem Fall keine eindeutige Differenzierung möglich. Die Kontrastechokardiographie ermöglichte eine präzisere Beurteilung der Perfusion; das Tumorgewebe zeigte eine deutliche Hypervaskularisation, wodurch eine thrombotische Genese unwahrscheinlich war und auf eine ergänzende MRT verzichtet werden konnte.



