herzmedizin-genericimage-header-1920 x 540

EP-Fall 17: Genetisches Risiko, physiologische Antwort: 2K-ICD mit LBBP bei LMNA

Im neusten EP-Fall erläutern die Autor:innen die ICD-Indikationsstellung und den Einsatz von LBBAP bei einer Patientin mit pathogener LMNA-Mutation.

Von:

 

PD Dr. Kerstin Bode, M.Sc. (LSE)

Prof. Dr. Cosima Jahnke

Prof. Dr. Ingo Paetsch

Prof. Dr. Daniela Husser-Bollmann

 

Herzzentrum Leipzig

 

12.03.2026

Bildquelle (Bild oben): A to Z – stock.adobe.com

Fallvorstellung

Eine 48jährige Patientin stellt sich in der kardiologischen Genetiksprechstunde zur weiteren Diagnostik vor, nachdem bei der Schwester eine Variante im LMNA-Gen nachgewiesen und ein ICD implantiert wurde. Die sich vorstellende Patientin hatte echokardiografisch eine normale LVEF und erhielt 2022 und 2025 eine Pulmonalvenenisolation bei Vorhofflimmern in einem auswärtigen Krankenhaus.

 

In der genetischen Zieldiagnostik wurde die familiär bekannte, pathogene LMNA-Variante nachgewiesen. Es handelt sich um eine intronische Variante, die zu einem abnormen Spleißen der RNA und damit zur Einführung eines vorzeitigen Stopp-Codon führt (non-missense Variante). Entgegen einiger anderer beschriebener Fälle mit dieser Variante, zeigte unsere Patientin keine Gliedergürteldystrophie (limb girdle muscular dystrophy 1B).

 

Das Ruhe-EKG (Bild 1) zeigte einen SR, HF 66/min, AV-Block I°, PQ 360ms, QRS 90ms, QTc 400ms, eine Niedervoltage und T-Negativierungen in III, V3 und V4.

Ruhe-EKG

Bild 1: Ruhe EKG

Im LZ-EKG (Bild 2) fanden sich kurze ventrikuläre Salven.

Langzeit-EKG

Bild 2: LZ-EKG

Die CMR (Bild 3) erbrachte den Nachweis eines streifigen, intramyokardialen Fibroseareals des LV anteroseptal (basal)/im Bereich der aorto-mitralen Kontinuität (AMC) aber keinen Nachweis einer myokardialen Infarktnarbe/regionalen Fibrose des RV bei insgesamt normalen Ventrikeldimensionen mit einer interventrikulären Septumdicke von 8mm und normaler Ventrikelfunktion.

Kardiovaskuläres MRT

Bild 3: Kardiovaskuläre MR (CMR): Die Spätaufnahmen nach Kontrastmittelgabe ("Late-Gadolinium Enhancement", LGE) zeigen in der basalen Kurzachsengeometrie (oben links), im 2-Kammerblick (oben rechts) sowie nach zusätzlicher Suppression des Blutsignals in identischer Kurzachsengeometrie (sog. "Darkblood-LGE", unten links) ein intramyokardiales Fibroseareal anteroseptal (basal)/im Bereich der aortomitralen Kontinuität (weiße Pfeile).

In der Risikokalkulation mit dem LMNA-risk VTA calculator zeigte sich ein deutliche erhöhtes Risiko für das Auftreten lebensbedrohlicher ventrikulärer Arrhythmien im 5-Jahres Zeitfenster (Bild 4).

Ergebnis des LMNA-Risk VTA Calculator

Bild 4: Ergebnis des LMNA-risk VTA calculator

Es erfolgte die Indikationsstellung zum ICD. Aufgrund des AV-Blocks I° (PQ 360ms) und eines erneuten kardioversionspflichtigen Vorhofflimmerns wurde mit der Patientin über die Art der ICD-Implantation diskutiert. Ein extrathorakales und transvenöses 1K-System wurde bei zu erwartendem Stimulationsbedarf nicht in die engere Wahl genommen. Bei derzeit noch normaler Pumpfunktion aber hohem Risiko für die Entwicklung einer stimulationsbedingten Kardiomyopathie entschieden wir uns für ein transvenöses 2K-LBBAP- ICD-System (Bild 5-7).

12 Kanal-EKG

Bild 5: perioperatives 12Kanal-EKG mit LBBP-Signalen gefiltert (LBBP) und ungefiltert (LBBPunf): Links unipolar stimulierter QRS (bei 5V/0,5ms, (R-wave peak time V6 76ms, R-wave peak time V1 114ms, QRS 110ms, QRS von Beginn Stimulus 146ms)) und rechts intrinsischer QRS-Komplex. Pfeil zeigt auf das Faszikelpotential.

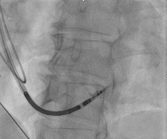
Interoperative KM-Darstellung

Bild 6: LAO 30°, Intraoperative KM-Darstellung über die CSP-Schleuse in Septalposition mit eingeführter Single Coil ICD-Elektrode und bereits herausgedrehter Schraube.

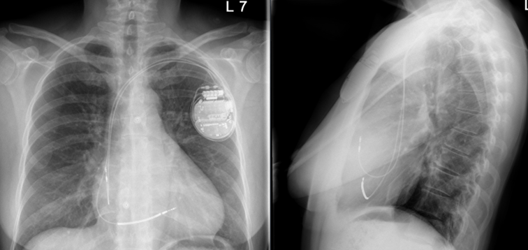
Röntgen-Thorax

Bild 7: Postoperatives Röntgen-Thorax in a.p. und lateral.

In der postoperativen Kontrolle nach 6 Wochen zeigten sich eine regelrechte Systemfunktion und 98 % LBBAP-Stimulationsanteil mit vergleichbarem QRS wie zur Implantation, obwohl über die ICD-Elektroden letztlich nur bipolar stimuliert werden kann.

Fazit

Physiologisches Pacing ist auch mit einer ICD-Elektrode und entsprechenden CSP-Schleusen durchführbar. Allerdings bedarf es hier noch weiterer Studien und Weiterentwicklungen sowohl der ICD-Elektroden als auch des Einführbestecks, bevor diese Technik standardmäßig eingesetzt werden kann.

Zur Autorin

PD Dr. Kerstin Bode

PD Dr. Kerstin Bode, M.Sc. (LSE) ist Chefärztin der Abteilung für Rhythmologie am Herzzentrum Leipzig.

PD Dr. Kerstin Bode PD Dr. Kerstin Bode

Zur Autorin

Prof. Dr. Cosima Jahnke

Prof. Dr. Cosima Jahnke ist Oberärztin für kardiovaskuläre Magnetresonanz (CMR) der Abteilung für Rhythmologie am Herzzentrum Leipzig.
Prof. Dr. Cosima Jahnke

Zum Autor

Prof. Dr. Ingo Paetsch

Prof. Dr. Ingo Paetsch ist Oberarzt für kardiovaskuläre Magnetresonanz (CMR) der Abteilung für Rhythmologie am Herzzentrum Leipzig.
Prof. Dr. Ingo Paetsch

Zur Autorin

Prof. Dr. Daniela Husser-Bollmann

Prof. Dr. Daniela Husser-Bollmann ist Oberärztin der Abteilung für Rhythmologie am Herzzentrum Leipzig. Sie hat eine Helios Stiftungsprofessur für die Genetik von Herzerkrankungen und leitet die Kardiogenetik.
Prof. Dr. Daniela Husser-Bollmann

Zur Übersichtsseite EP-Fall des Monats

Das könnte Sie auch interessieren

Ein Fall von Dr. Joseph Kheir, Dr. Alexandra Marx und Dr. Melanie Gunawardene

Pulsed-Field-Ablation einer rechtsatrialen Postmyokarditis-AT mit Lagebeziehung zum N. Phrenicus. Ein EP-Fall von Dr. Leon Iden.

Multimodales Vorgehen bei einer arrhythmogenen rechtsventrikulären Kardiomyopathie. Ein Fall von Dr. Jan Grobecker (Köln)