Generic_01 32by9 1920x540 Px 72dpi

Der Ursache rätselhafter Synkopen auf der Spur

Mithilfe einer Rechtsherz-Echokardiografie mit Kontrastmittel konnte im folgenden Fallbeispiel die richtige Diagnose gestellt werden.

Von PD Dr. Stefan Perings, Dr. med. Silke Eschenhagen

 

28.03.2017

Vorstellig wurde eine 38-jährige Patientin, nachdem es zu einer Präsynkope mit anschließenden Kribbelparästhesien gekommen war, die sich wenige Tage später wiederholten. Daraufhin wurde sie in einer Notaufnahme vorstellig. Die neurologische Diagnostik einschließlich zerebraler Computertomografie (CT) blieb ohne wegweisenden Befund.

 

Es fiel eine Bradykardie bis 52 Schlägen / min auf, ein Langzeit-EKG war aber unauffällig und zeigte regelrechtes Frequenzverhalten. Im Alltag ist die Patientin gut belastbar und geht mehrmals wöchentlich Joggen. Aufgrund dessen wurde die Bradykardie physiologisch über den guten Trainingszustand erklärt. Ein Schellongtest war ebenfalls unauffällig. Letztlich wurde die stattgehabte Symptomatik dennoch als wahrscheinlich orthostatisches Geschehen eingeordnet. Bekannt ist bei der Patientin weiterhin eine Lippen-Kiefer-Gaumenspalte.

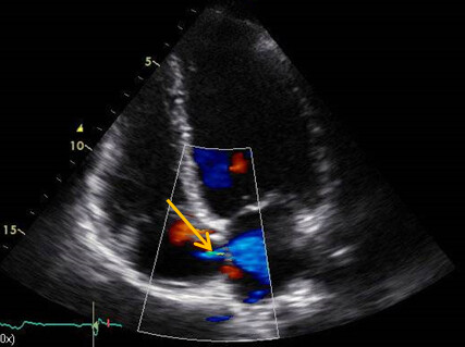
Hypermobiles Vorhofseptum

Im Rahmen der kardiologischen Untersuchung fiel echokardiografisch ein leicht hypermobiles Vorhofseptum auf (Abb. 1A). Im gepulsten Doppler (PWD) wurde dieser Bereich als unauffällig bewertet.

 

Im Farbdoppler fiel ein minimaler Links-Rechts-Shunt auf der Vorhofebene auf, wobei dieser Befund evtl. auch einem Artefakt entsprechen konnte (Abb. 1B). Rechtsherzbelastungszeichen ließen sich nicht dokumentieren.

 

Um die Frage nach einem wirksamen Shunt zu präzisieren, erfolgte eine Rechtsherz-Echokardiografie mit Kontrastmittel (KM). Hierbei konnte sowohl in Ruhe als auch unter Valsalva ein Übertritt von Bubbles auf Vorhofebene dokumentiert werden (Abb. 1C / D). Unter Berücksichtigung der zurückhaltenden Einstellung der Patientin und der fehlenden neurologischen Residuen, die für keine gesicherte paradoxe Embolie sprachen, wurde eine Medikation mit ASS eingeleitet und die Patientin neurologisch wiederholt untersucht. Sie blieb bisher beschwerdefrei.

Kontroverse Studienlage

Die Studienlage für einen PFO-Verschluss mit einem Vorhofschirmchen  ist nicht allzu umfangreich, aber kontrovers. Der Verschluss und ein konservatives Vorgehen halten sich nahezu die Waage hinsichtlich des Ergebnisses, sodass der Zurückhaltung der Patientin Rechnung getragen werden konnte. Allerdings sollten thromboembolische Ereignisse venöser Herkunft wenigstens medikamentös behandelt werden.

 

Hier wird die Frage nach dem Vorgehen – relativ einfach antithrombozytär mit ASS oder sinnvoller mit Antikoagulation – in der Literatur kontrovers diskutiert. Es gibt möglicherweise einen günstigeren Verlauf unter Antikoagulation. Der Vorteil gegenüber einer Thrombozytenaggregationshemmung ist allerdings nur gering (NEJM 2013; 368:1092–1100).

 

Der reine transthorakale echokardiografische Nachweis eines kleinen atrialen Septumdefektes (ASD) oder eines größeren, persistierenden Foramen ovale (PFO), noch dazu mit Septumaneurysma, ist methodisch unsicher. Bei fehlenden Rechtsherzbelastungszeichen, ohne sekundäre zerebrale Befunde und bei Zurückhaltung der Patientin, wurde auf einen eindeutigen Nachweis / Charakterisierung mittels transösophagealer Echokardiografie (TEE) verzichtet, da sich keine weiteren therapeutischen Konsequenzen ergeben hätten.

Synkopen Abbildung 1
© Perings
Abb. 1: Rechtsherz Echokardiografie, Credit: Perings
Synkopen Abbildung 2
© Perings
Abb. 2: Rechtsherz Eckokardiografie, Credit: Perings
Synkopen Abbildung 3
© Perings
Abb. 3: Rechtsherz Echokardiografie, Credits: Perings
Synkopen Abbildung 4
© Perings
Abb. 4: Rechtsherz Eckokardiografie, Credit: Perings

Das könnte Sie auch interessieren

DGK.Kardiale Bildgebung 2025 | Prof. G. Korosoglou und PD Dr. H. ten Freyhaus heben 2 Schwerpunktsitzungen heraus.

ESC Digital & AI Summit 2025 | Pitch Sessions: Ein Überblick zu aktuellen Entwicklungen im digitalen und KI-Bereich. Mit Kommentar von PD Dr. P. Breitbart.

Testen Sie mit einem neuen anschaulichen Case aus der kardialen Bildgebung Ihre Diagnosefähigkeiten und frischen Sie Ihr Praxiswissen auf.