Cardio News 05/26

Cardio News

Zeitung für Kardiologie, Herz- und Kreislaufforschung

Am 15. Mai in Ihrem Briefkasten: Dann wird die neue Cardio News an alle DGK-Mitglieder ausgeliefert. Der Fokus in der Ausgabe von Mai 2026 liegt auf der kardiologischen Intensivmedizin, bei der Ausbildung und Versorgungsqualität gestärkt werden sollen.


Weitere Themen sind die Vorstellung des Nationalen Herz-Netzes bei der DGK-Jahrestagung, Studienergebnisse zur HFpEF-Therapie mit Spironolacton, FFR-Messung ohne Druckdraht, alt werden mit Herzfehler, Ergebnisse einer Mitgliederumfrage zu „Karriere, Chancengleichheit und Geschlechtergerechtigkeit“ – und vieles mehr!

Auf dieser Seite finden Sie vorherige Ausgaben der Cardio News zum Download. Außerdem können Sie Ihr Wissen im interaktiven Medizin-Quiz testen, das regelmäßig in der Cardio News veröffentlicht wird.

Herausgeber der Cardio News

Prof. Tienush Rassaf

Universitätsklinikum Essen

rassaf-tienush-375x375 rassaf-tienush-375x375

Prof. Meinrad Gawaz

Universitätsklinikum Tübingen

gawaz-meinrad-1zu1-576x576 gawaz-meinrad-1zu1-576x576

Bitte loggen Sie sich ein, um diesen Inhalt zu sehen.

Dieser Beitrag ist für DGK-Mitglieder exklusiv und kostenfrei verfügbar

DGK-Mitglieder müssen einmalig über die Closed User Group der DGK ihren Account mit dem DGK-Dienst "Zentraler Login" verbinden und können sich im Anschluss auf Herzmedizin.de mit diesen Login-Daten anmelden.

Sie sind noch kein Mitglied?

Vorteile einer DGK-Mitgliedschaft

  • kostenloser Eintritt zur traditionellen Jahrestagung in  Mannheim und den DGK Herztagen
  • kostenloser Zugriff auf die Video-Ressourcen der Kongresse
  • Zugriff auf alle Inhalte von Herzmedizin.de
  • kostenlose Zusendung der Vor- und Tagungsprogramme, der Zeitung Cardio News sowie des Jahresberichts
  • ermäßigter Bezug verschiedener Zeitschriften
  • Kostenvorteile bei der Buchung von Kursen der DGK-Akademie

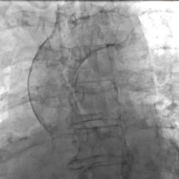
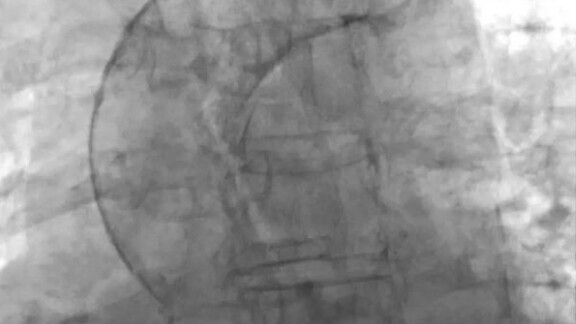
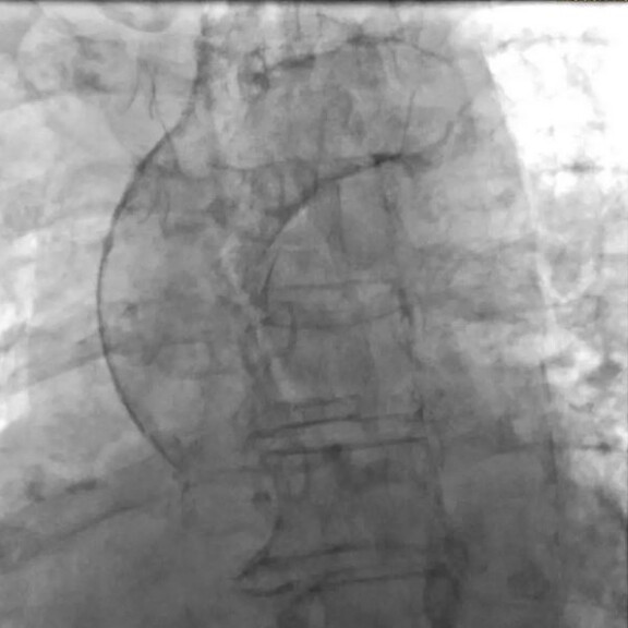
Medizin-Quiz – Hätten Sie es gewusst?

Das Medizin-Quiz aus der Cardio News zeigt Fälle aus der kardialen Bildgebung, mit denen Sie Ihre Diagnosefähigkeiten testen und Ihre Fachkenntnisse praxisnah updaten können.
kardiale-bildgebung-aorta-1zu1-576x576 kardiale-bildgebung-aorta-1zu1-576x576

Aktuelles aus der DGK

Verlässliche Handlungsempfehlungen für den ärztlichen Alltag
leitlinien-bibliothek-16zu9-871x490 leitlinien-bibliothek-16zu9-871x490

In verschiedenen Gremien der DGK finden sich Kolleginnen und Kollegen zum Austausch zu den einzelnen Spezialgebieten zusammen und arbeiten gemeinsam an Projekten in Forschung, Versorgung und Fortbildung.
netzwerk-16zu9-871x490 netzwerk-16zu9-871x490

Die DGK bietet zahlreiche Förderpogramme an sowohl für Nachwuchskräfte als auch für wegweisende Projekte von etablierten Forschenden.
foerderung-16zu9-871x490 foerderung-16zu9-871x490

Neues von Herzmedizin.de

Heart Failure 2026 | BHB/HRS-1893: Kardiomyosin-Inhibitor zeigt positive Effekte bei nicht-obstruktiver hypertropher Kardiomyopathie. Von Dr. C. Reich.

ACC Journal Club – How does the use of AI vary by region? Prof. B. Meder and Dr. J. Cavalcante present perspectives from Germany and the U.S.

EuroPCR2026 | EROICA: Registerstudie zeigt vergleichbare Outcomes bei symptomatischer hochgradiger Aortenklappeninsuffizienz. Von Prof. T. Rudolph.