kollegen-halten-haende-zusammen-shutterstock-629115215-32zu9-1920x540px

Youngs für Youngs: Kardio-MRT

Die kardiale Magnetresonanztomographie (Kardio-MRT) ist eine faszinierende Methode der Kardiologie, die sich stetig weiterentwickelt. Sie hat bei einer Vielzahl kardiovaskulärer Erkrankungen einen hohen diagnostischen und prognostischen Stellenwert, was durch den hohen Empfehlungsgrad in vielen kardiologischen Leitlinien abgebildet ist. Allerdings ist die Kardio-MRT insbesondere für junge Kardiologinnen und Kardiologen oft eine Black Box. Dieser Beitrag dient daher als kompakter Einblick in das Thema.

Von:

Dr. Ailís Ceara Haney

Universitätsklinikum Heidelberg

 

Expertenkommentar:

Prof. Sebastian Kelle

Charité Berlin

 

19.05.2025

Bildquelle (Bild oben): LightField Studios / Shutterstock.com

Weiterbildung und lokale Verfügbarkeit

Eine Herausforderung bei der Durchführung der Kardio-MRT sind die Gegebenheiten vor Ort. Je nach Standort steht der Kardiologie ein eigenes MRT-Gerät zur Verfügung oder es werden Untersuchungsslots in Kooperation mit der Radiologie angeboten. Um Routine und Expertise in der Kardio-MRT zu erlangen, ist eine mehrmonatige durchgehende Ausbildung von Vorteil. Über Kooperationen zwischen verschiedenen Standorten in Form von Hospitationen oder Kurzrotationen kann Erfahrung gesammelt werden, was für Kliniken ohne Kardio-MRT-Verfügbarkeit eine gute Möglichkeit zur Weiterbildung ist. Eine gesundheitspolitische Hürde bezogen auf die Kardio-MRT ist die weiterhin fehlende Vergütung durch die gesetzlichen Krankenkassen.

Indikationen

Häufige Indikationen für eine Kardio-MRT sind die Abklärung von Kardiomyopathien, Viabilität, der Verdacht auf eine (Peri-)Myokarditis oder die Ischämiediagnostik bei koronarer Herzerkrankung. Auch bei Fragestellungen wie Klappenerkrankungen, angeborenen Herzfehlern oder Raumforderungen bietet die Kardio-MRT die Möglichkeit einer genauen Diagnostik. Sogar die Untersuchung des fetalen Herzens ist möglich.

Planung der Untersuchung

Eine gute Planung des Untersuchungsablaufs ist essenziell. Selbst bei einer Klaustrophobie ist die Untersuchung mit einem Beruhigungsmittel oft problemlos möglich. Ein 12- bis 24-stündiger Koffeinverzicht vor einer Adenosin-Stressuntersuchung ist frühzeitig zu kommunizieren. 

 

Die MRT-Fähigkeit von Implantaten sollte im Voraus geprüft werden – diese ist in der Regel im Implantat-Ausweis vermerkt. Heutzutage sind die meisten nicht-aktiven Implantate MRT-fähig und unter bestimmten Voraussetzungen die meisten aktiven Implantate ebenfalls. Bei Schrittmachern ist die Bildqualität in der Regel gut, Einschränkungen können jedoch insbesondere bei der kardialen Resynchronisationstherapie mit Defibrillator (CRT-D) auftreten. Epimyokardiale und gekappte Sonden stellen für MRT-Untersuchungen eine Kontraindikation dar.


Nach aktuellen Empfehlungen muss die Nierenfunktion vor einer Kontrastmittelgabe nicht zwingend bestimmt werden. Allerdings sollte Gadolinium-haltiges Kontrastmittel je nach Präparat bei einer GFR <30 ml/min/1,73 m2 sowie bei Personen unter Hämodialyse oder in der perioperativen Phase einer Lebertransplantation nur nach gründlicher Risiko-Nutzen-Abwägung gegeben werden, um eine nephrogene systemische Fibrose (NSF) zu vermeiden. Bei der NSF handelt es sich um eine seltene, lebensbedrohliche Bindegewebserkrankung, die bisher primär bei Dialysepflicht und stark eingeschränkter Nierenfunktion beschrieben wurde.


Sofern eine Stressuntersuchung mit einem Vasodilatator (Adenosin oder Regadenoson) geplant ist, müssen vorher höhergradige AV-Blockierungen ausgeschlossen werden. Bei Vorliegen eines Asthmas kann Regadenoson statt Adenosin verabreicht werden.


Vor Beginn der Untersuchung sollte die Fragestellung klar sein, Vorbefunde sollten ggf. vorliegen und beachtet werden, damit dementsprechend ein passendes Untersuchungsprotokoll gewählt werden kann.

Ablauf der Untersuchung

Grundsätzlich müssen sowohl Patientinnen und Patienten als auch Ärztinnen und Ärzte für eine Kardio-MRT Zeit mitbringen. Je nach Protokoll dauert die Untersuchung zwischen 30 und 60 Minuten. Während die zu untersuchende Person im Scanner liegt, kann parallel die Befundung erfolgen, damit bei Bedarf das Protokoll in Echtzeit angepasst werden kann. Eine Kardio-MRT setzt sich aus verschiedenen Modulen zusammen, die je nach Fragestellung unterschiedlich kombiniert werden können. Eine Untersuchung beginnt mit Übersichtsaufnahmen. In den bewegten, kontrastfreien Cine-Aufnahmen werden Morphologie und Funktion beurteilt.


Das Alleinstellungsmerkmal der Kardio-MRT gegenüber anderen kardialen Bildgebungsmodalitäten ist die myokardiale Gewebecharakterisierung: Mit Hilfe von sogenannten „Maps“ kann das Myokard auf Voxelniveau bezüglich Fibrose, Eisen oder Ödem quantifiziert werden. In den Spätaufnahmen (Late Gadolinium Enhancement, LGE) wird die Kontrastmittelanreicherung des Myokards und Perikards beurteilt.


Nicht nur Anatomie und Gewebeeigenschaften, sondern auch die Relevanz von koronaren Stenosen kann in einer Perfusionsstressuntersuchung mit Adenosin oder Regadenoson evaluiert werden. In seltenen Fällen wird Dobutamin verabreicht, was allerdings mit einem etwas höheren Zeitaufwand und längerer Überwachung der Hämodynamik verbunden ist. Weitere Module sind Flussmessungen zur Quantifizierung insbesondere von Klappeninsuffizienzen/-stenosen, Angiographien zur Gefäßdarstellung, eine erweiterte Gewebecharakterisierung bei Raumforderungen sowie 3D-Aufnahmen zur Darstellung der koronaren Anatomie.


Bei der Befundinterpretation gilt: Vier Augen sehen mehr als zwei – gerade am Anfang sollte eine erfahrene Kollegin oder ein erfahrener Kollege zu Rat gezogen werden. Selbststudium und die regelmäßige Teilnahme an Fort- und Weiterbildungen erweitern die kardiologische Expertise.

 

Vor meiner ersten Kardio-MRT hätte ich mir gewünscht, zu wissen, dass ... trotz morphologisch unauffälligem Herz die Gewebecharakterisierung ausschlaggebend sein kann, um eine Diagnose zu liefern. 

 

Nach mehr als 1.300 Kardio-MRTs weiß ich, dass ... die initial als Black Box angesehene Kardio-MRT eine Schatzkiste ist – aus spannenden pathophysiologischen Erkenntnissen, faszinierenden klinischen Fällen und essenziellen diagnostischen Befunden, die für die Planung einer adäquaten und individualisierten Therapie maßgeblich sind. 

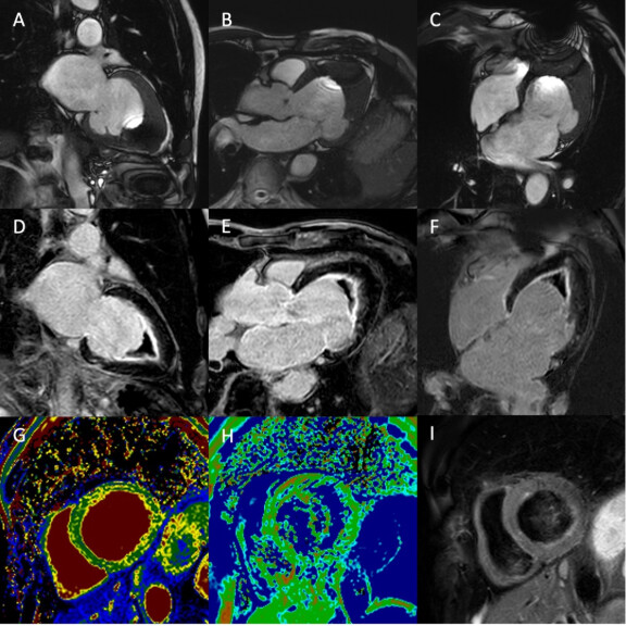
Kardio-MRT-1zu1-576x576
Abb.: Patient mit einer phänotypischen Endomyokardfibrose. Der linksventrikuläre Apex ist deutlich verplumpt (Cine-Aufnahmen, A-C). C zeigt ein typisches Artefakt durch einen Metallfremdkörper im Bereich der Thoraxwand auf Höhe des Zwerchfells. In den Spätaufnahmen (D-F) ist ein ausgeprägtes endokardiales Late Gadolinium Enhancement apikal und mittventrikulär nachweisbar sowie thrombotische Auflagerungen in diesem Bereich. Die basale Aufnahme der T1-Map (G) ist unauffällig, in der T2-Map basal (H) und T2-Blackbloodaufnahme basal (I) ist kein myokardiales Ödem nachweisbar.

Expertenkommentar

Die kardiale MRT ist eine faszinierende Untersuchungsmethode, die für die Versorgung unserer kardiologischen Patientinnen und Patienten stetig an Bedeutung zunimmt. Der Beitrag von Dr. Ailís Ceara Haney stellt in sehr fundierter Weise eine kurze Einführung dar.

Wichtige Punkte meiner Erfahrung nach sind:

 

  • Vor Beginn der Untersuchung sollte die Indikation geprüft werden und die für die klinische Fragestellung valideste und für den Behandelten am wenigsten belastende Kardio-MRT-Untersuchung mit kurzem Protokoll festgelegt werden. Das Kardio-MRT-Protokoll kann je nach Auffälligkeiten während der Untersuchung erweitert werden.
  • Einige Fragestellungen können auch kontrastfrei erfolgen. Dies spart Vorbereitungszeit sowie Ressourcen.
  • Eine optimale Patientenvorbereitung und -aufklärung sowie Kontakt zum Behandelten während der Untersuchung – dies erhöht die Compliance und führt am Ende zu besserer Bildqualität.
  • Ein strukturierter und standardisierter Untersuchungsablauf, um eine Vergleichbarkeit zu gewährleisten. Die Fachgesellschaften beschreiben dafür SOP's, an denen man sich sehr gut orientieren kann.
  • Wichtig ist eine enge Supervision von Anfang an. Fragen stellen, wenn etwas unklar ist und sich mit erfahrenen Kolleginnen oder Kollegen austauschen.
    Zum Start sollte man eventuell erst einmal mit Untersuchungen in Ruhe starten (ohne und mit der Gabe von Kontrastmittel) und nach einer gewissen Sicherheit in der Durchführung mit Stress-MRT-Untersuchungen beginnen.
  • Um den Lerneffekt weiter zu steigern, ist das ergänzende Selbststudium wichtig, der Besuch von Fortbildungen oder On-Demand-Kursen. Ideal ist die Mitgliedschaft in einer Arbeitsgruppe oder Fachgesellschaft für kardiale MRT.
  • Sollte am eigenen Haus keine Möglichkeit der Weiterbildung bestehen, empfehle ich eine frühe Hospitation an anderen Stätten, die häufig und qualifiziert Kardio-MRT-Untersuchungen durchführen. Ergänzend zu den Hands-on-Erfahrungen stellen die Nutzung von Falldatenbanken oder On-Demand-Kursen ebenfalls eine Alternative dar.

 

Wir wünschen allen interessierten Kolleginnen und Kollegen viel Erfolg bei den ersten kardialen MRT-Untersuchungen und Freude an dieser faszinierenden kardialen Bildgebungsmodalität!

Zur Autorin

Dr. Ailís Ceara Haney

Dr. Ailís Ceara Haney ist seit 2020 Ärztin in Weiterbildung am Universitätsklinikum Heidelberg, Innere Medizin III. Das Studium und die Promotion absolvierte sie an der Universität Heidelberg. Wissenschaftlich spezialisiert sie sich auf die kardiale Bildgebung.

haney-ailis-ceara-original-375x375 haney-ailis-ceara-original-375x375

Zum Autor

Prof. Sebastian Kelle

Prof. Sebastian Kelle (FESC, FAHA, FSCMR) ist Kardiologe und als Leiter der Abteilung für Kardiale Bildgebung sowie des MRI-CORE-LAB am Deutschen Herzzentrum der Charité Berlin tätig. Innerhalb der Deutschen Gesellschaft für Kardiologie ist er Past-Chair der Arbeitsgruppe AG 21 Magnetresonanzverfahren in der Kardiologie (Cluster B). 
kelle-sebastian-2024-375x375px kelle-sebastian-2024-375x375px

Mehr zum Thema

Zur Übersicht Diagnostik 

Das könnte Sie auch interessieren

Test your diagnostic skills and refresh your practical knowledge with a new illustrative case from electrophysiology.

Aktuelle Studien zu u. a. Memantin bei Extrasystolen, TVT-Register, ORBITA-2, GLP-1-RA bei TAVI, Lp(a) als Biomarker und PCSK9i zur Primärprävention.

Publications from medical societies – this time: EHRA statement on Intracardiac echocardiography during invasive EP procedures. By Prof. P. Peichl.