Minimalinvasive transfemorale Debridement eines degenerierten biologischen Mitralklappenersatzes mittels Inari FlowTriever® Aspirationssystem

https://doi.org/10.1007/s00392-025-02625-4

Tanja Kücken (Bernau bei Berlin)1, F. Hölschermann (Bernau bei Berlin)1, M. Neuß (Bernau bei Berlin)1, A. Haase-Fielitz (Bernau bei Berlin)1, C. Butter (Bernau bei Berlin)1

1Immanuel Klinikum Bernau Herzzentrum Brandenburg / Kardiologie Bernau bei Berlin, Deutschland

 

Einführung 

Für Patienten mit biologischen degenerierten Mitralklappenersatz wurde bisher eine „Valve-in-Valve“ Therapie via transseptalen Zugang und unter Verwendung einer Edwards Sapien Klappe angeboten.Vorher ist die Gefahr einer LVOT Obstruktion mittels Cardiac CT zu eruieren. Der hier vorgestellte Fall beschreibt eine Bailout-Therapie für eine Patientin mit hoher Wahrscheinlichkeit für eine LVOT Obstruktion. 

Case Report

Eine 72-jährige Patientin stellte sich 2023 mit einer Stenose über ihrem degenerierten biologischen Mitralklappenersatz vor, Erstversorgung 2012 bei hochgradiger Insuffizienz. 2015 kam es zu einer Prothesenendokarditis und chirurgischen Therapieversuch. Dieser musste aufgrund von fragilen Wundverhältnissen und starker Blutungsneigung intraoperativ abgebrochen werden. Bildmorphologisch präsentierten sich verdickte Prothesencuspen ohne Nachweis von Verkalkungen. Nach Stabilisierung und antibiotischer Therapie konnte die Patientin 2015 in die Häuslichkeit entlassen werden. 

Bei der Wiedervorstellung 2023 zeigte sich ein Dgmean von 10mmHg über der Mitralklappeprothese. Das bildmorphologische Korrelat wies einen zu 2015 unveränderten Befund auf. Das Screening für eine „Valve-in-Valve“ Therapie mittels Cardiac CT ergab ein hohes Risiko für eine LVOT Obstruktion, sodass wir uns bei symptomarmer Patientin (NTproBNP 525ng/l) -für ein konservatives Vorgehen entschieden.

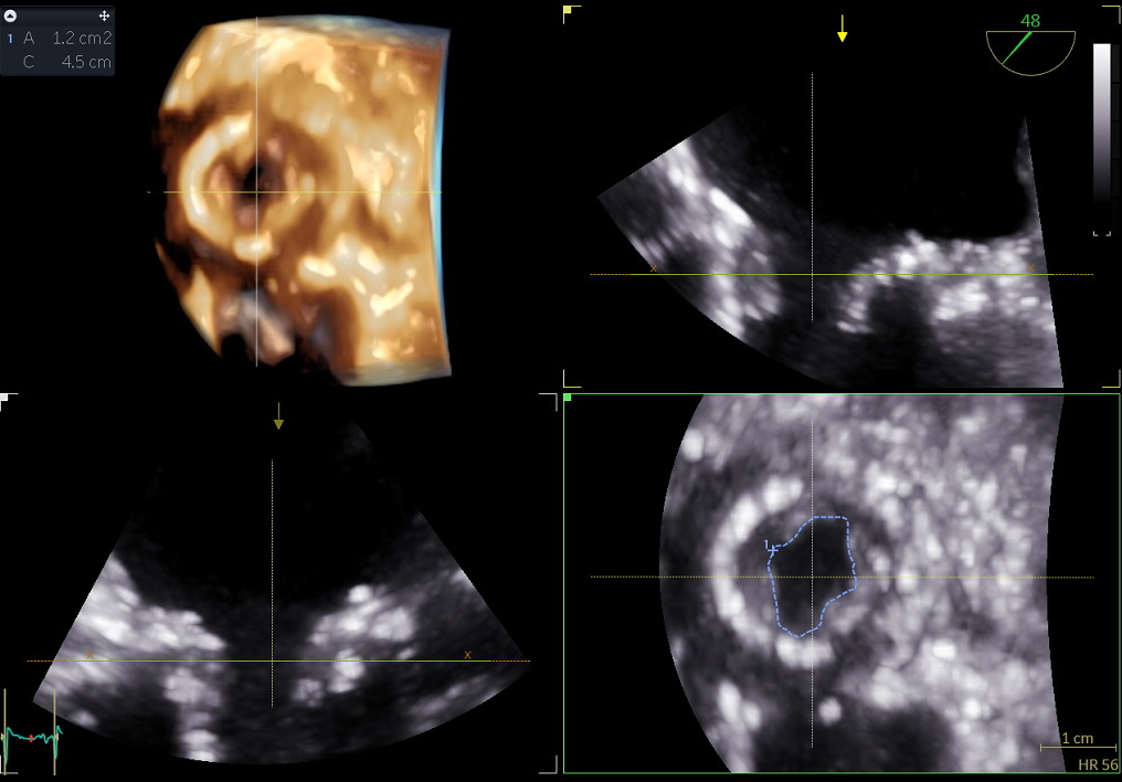
Im Juni 2024 kam es zu einer kardialen Dekompensation mit Zunahme des mittleren Gradienten auf 27mmHG (Abbildung 1) und einem NTproBNP von 21,487ng/l. Die Echokardiografie ergab ein zunehmendes Rechtsherzversagen mit konsekutiv fehlender Füllung des linken Ventrikels und weiterer Verengung des LVOTs. Am zweiten stationären Tag kam es zu Kammerflimmern mit Reanimation. Bei fehlenden Therapiealternativen wurde als Bail Out Strategie mit Hilfe eines Inari FlowTriever® Systems nach transseptaler Punktion das weiche aufgelagerte Gewebe im Bereich des biologischen Mitralklappenersatzes unter transösophagealer echokardiografischer Steuerung aspiriert. Periinterventionell konnte eine Reduktion des Druckgradienten von zuletzt 27mmHg auf 6mmHg (Abbildung 2) dokumentiert werden ohne neue Insuffizienzkomponente der Prothese. Die initiale Öffnungsfläche betrug nur 0,3cm². Nach Aspiration und Debridement betrug die Klappenöffnungsfläche 1,2cm² (Abbildung 3 und 4). Das Aspirat zeigte histologisch ein amorphes eosinophiles Substrat mit Fibrin und Blutbestandteilen. Die echokardiografische Verlaufskontrolle postinterventionell bestätigte einen stabilen Druckgradienten von 6mmHg. Im 3-Monats Follow-Up war die Patientin gut belastbar (NTproBNP von 288ng/l). Eine transösophageale Echokardiografie bestätigt auch nach 3 Monaten eine intakte Prothese. 

Diskussion

Die Besonderheit bei dieser Patientin ist keine klassische Degeneration mit Kalzifizierungen sondern eine flaue Auflagerung im Sinne von potentiellen thrombotischen Auflagerungen. Die Patientin ist aufgrund von multiplen Allergien dauerhaft mit Apixaban behandelt. Die histologische Untersuchung legt einen Zusammenhang zu einem potentiellen Hypereosinophiliesyndrom dar, dies würde auch die flaue und nicht degenerative Beschaffenheit des Aspirats erklären.

Diese Seite teilen